Первые признаки, профилактика, лечение.
Зубной камень — заболевание, которое чаще всего возникает у старых собак,
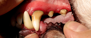
проявляется оно серо-зеленоватым налетом на боковых поверхностях клыков, а затем и на других зубах. В состав этого налета входят углекислый и фосфорнокислый кальций, соли калия, пищевая масса, слущенные эпителиальные клетки слизистой оболочки и микрофлора полости рта. Несвоевременное удаление зубного камня может привести к изъязвлению десен и развитию периостита.
На более поздних стадиях наблюдаются симптомы:
- сильная гиперемия десен, изъявление;
- неприятный запах;
- проблемы с пережевыванием пищи;
- постоянное слюнотечение;
- зубы начинают шататься и выпадать.
Лечение:
Для предотвращения дальнейшего развития болезни, зубной камень необходимо своевременно удалять специальным штапелем, после чего десну смазать йодоглицерином.
Для профилактики рекомендуется вводить в рацион собаки очищающие зубы корма, например хрящевые кости. Можно также время от времени промывать пасть животного после еды раствором, состоящим из 2 ч. л. пищевой соды, 2–3 мл 5%-го спиртового раствора йода и 100 мл теплой кипяченой воды.
Не стоит заниматься самолечением, если Вы не уверены в себе. Лучше сразу обратиться к ветеринарному врачу. Так будет лучше и для собаки ( Вы не сделаете ситуацию еще сложнее), и для ветеринарного врача ( ему легче будет лечить Вашего питомца).
